Osteocondrose é unha enfermidade de clase mundial xa que afecta a persoas de todo o mundo (40-90%). Esta patoloxía ocorre na maioría dos casos en persoas de idade madura, despois dos 30 anos. A dor nas costas na vida cotiá é frecuentemente atribuída a esta enfermidade. No noso artigo imos considerar en detalle os síntomas, descubrir as causas e métodos de tratamento para a osteocondrose. En medicina chámase unha lesión do tecido espinal de natureza dexenerativo-distrófica. A osteocondrose vai acompañada de lesións dos discos intervertebrais, superficies articulares, corpos vertebrales e ligamentos. Como regra xeral, a osteocondrose afecta inicialmente aos ósos e ligamentos.
O desenvolvemento da osteocondrose ocorre en varias etapas. Vexámolos máis de cerca:
- A osteocondrose nas fases iniciais parece unha deshidratación do núcleo pulposo, o que leva a un deterioro da posición das vértebras. Para que quede máis claro ao lector, explicaremos que é o núcleo pulposo. Este termo médico refírese ao interior do disco intervertebral, que consta de compoñentes semi-fluídos (fibras de tecido conxuntivo) e xelatinosos (condrinas). Durante este tempo, aparecen gretas no anel fibroso do paciente.
- A seguinte etapa está moi relacionada coa anterior: debido a unha hernia vertebral, os ligamentos e os músculos afóstanse. Esta condición leva a un desequilibrio motor nas vértebras. Este período caracterízase pola espondilolistesis, ou máis simplemente, o desprazamento das vértebras.
- A terceira etapa de desenvolvemento da osteocondrose caracterízase por manifestacións máis notables para unha persoa normal: abombamento dos discos intervertebrais (abultamento do seu contido) e artrose.
- A fase final da osteocondrose está asociada aos osteofitos. O noso corpo nota a "floxadura" das vértebras e tenta devolver a columna ás súas funcións orixinais: de apoio e de protección. Para conseguilo, nas superficies das vértebras xorden crecementos óseos chamados osteofitos. Durante o mesmo período, o tecido fibroso crece. O resultado destes procesos é o atrapamento do segmento motor da columna vertebral na cuncha.
A osteocondrose é unha enfermidade multiespecie. Hai osteocondrose nas áreas cervical, torácica e lumbosacra, así como unha forma común de osteocondrose. A osteocondrose da articulación do xeonllo é cada vez máis común na práctica médica.
Razóns para o desenvolvemento da osteocondrose
As razóns para o desenvolvemento desta enfermidade son numerosas e non sempre son fáciles de determinar. O estilo de vida sedentario xeneralizado, o exceso de peso, os malos hábitos (especialmente o tabaquismo), a mala alimentación, os pés planos, a actividade física pesada e a mala postura achegan a unha persoa ao desenvolvemento da osteocondrose. Unha lesión na columna vertebral pode contribuír á aparición de osteocondrose, pero tamén pode desenvolverse debido á predisposición xenética. Os trastornos metabólicos, as infeccións, as anomalías conxénitas e os cambios relacionados coa idade son causas comúns do desenvolvemento desta enfermidade. Un feito interesante é a conexión entre o desenvolvemento da osteocondrose e a vibración. Isto afecta directamente aos condutores de maquinaria agrícola ou aos operadores de máquinas.
Non hai restricións de idade serias para a osteocondrose actual: ocorre tanto en persoas maiores como novas. Hai unha opinión de que o desenvolvemento da osteocondrose está asociado con depósitos de sal, pero isto non é do todo xusto. Os depósitos de sal son máis probables unha consecuencia da osteocondrose. A causa da dor na osteocondrose adoita ser a irritación das raíces nerviosas, chamada irritación na medicina. As enfermidades vasculares no contexto da osteocondrose xorden debido á inervación deteriorada do sistema vasomotor.
Síntomas da osteocondrose

O síntoma máis evidente da osteocondrose é a dor e o malestar. A dor non sempre é constante; pode empeorar periodicamente e despois diminuír. Estes síntomas adoitan ir acompañados de entumecimiento nos membros. Na maioría dos casos, a dor irradia ao lado esquerdo do corpo. Se notas síntomas desta enfermidade, apurate e consulta a un especialista: un terapeuta ou un neurólogo. A detección precoz da osteocondrose mellora a eficacia do tratamento.
Con osteocondrose, os pacientes adoitan queixarse dun aumento da fatiga. Unha característica interesante, cuxa conexión con esta enfermidade non está clara a primeira vista, é o frío dos membros.Os dores de cabeza e os mareos adoitan ir acompañados de osteocondrose. Ademais, un trazo característico da enfermidade é a fatiga ocular severa e incluso a visión reducida. Coa osteocondrose da rexión lumbosacra, os pacientes poden experimentar problemas co sistema reprodutor. É importante que as mulleres saiban que a osteocondrose pode interferir co curso normal do embarazo e coa propia concepción. Cada tipo de osteocondrose ten os seus propios signos característicos. Así, co tipo cervical da enfermidade obsérvanse signos en forma de dores de cabeza (especialmente ao mover a cabeza), mareos ao xirar a cabeza, sensibilidade limitada da zona afectada, dor no pescozo, omoplato, brazos e peito. Un síntoma interesante e non particularmente agradable da osteocondrose cervical é a limitada mobilidade da lingua. O tipo de osteocondrose torácica é raro e caracterízase por dor no peito, especialmente ao respirar. A dor pode irradiarse ao estómago, ao corazón e ao fígado. Este tipo tamén se caracteriza por entumecimiento, pero só na zona do peito. Coa patoloxía lumbosacra, os pacientes adoitan queixarse de dor irradiada nas pernas. Outro síntoma deste tipo de osteocondrose é a paresia das extremidades inferiores.
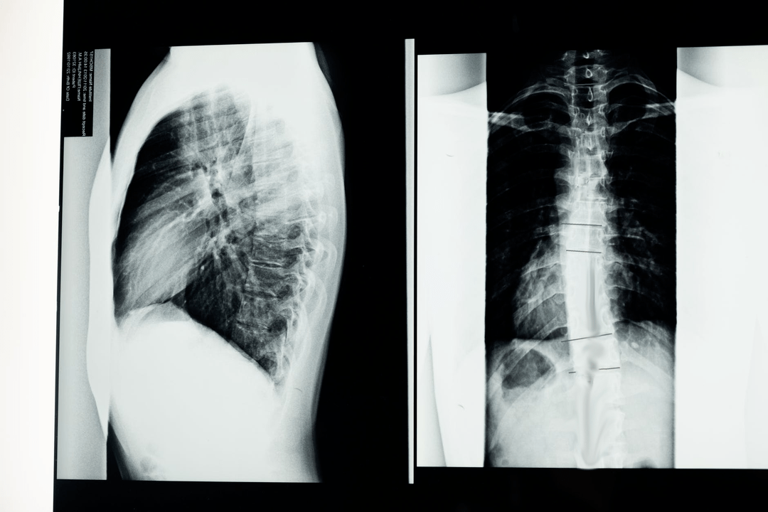
Métodos para diagnosticar osteocondrose

Antes de comezar os estudos diagnósticos, o neurólogo toma a historia clínica do paciente e examina coidadosamente as súas queixas. A osteocondrose ten síntomas comúns a algunhas outras enfermidades, polo que é importante poder distinguir patoloxías. Os estudos de raios X axudan a confirmar o diagnóstico de osteocondrose: radiografía, mielografía e tomografía computarizada.
Unha radiografía de enquisa permítelle tomar unha radiografía da columna vertebral ou unha sección dela. Isto permítelle ao médico determinar a localización afectada pola enfermidade. Para aclarar, explicaremos como se pode determinar a osteocondrose mediante unha radiografía: a imaxe mostra un estreitamento do disco intervertebral, a presenza de crecementos óseos (osteofitos) ou un cambio na forma do segmento espinal.
O exame mielográfico é máis complexo que o radiolóxico. Isto débese a certas manipulacións que os médicos teñen que realizar durante a mielografía: o medio de contraste inxéctase na canle espiñal. Isto pode supoñer un perigo para o paciente: en primeiro lugar, pode ocorrer unha reacción alérxica á substancia inxectada, en segundo lugar, se a punción non ten éxito, pode producirse danos na medula espiñal. Non obstante, a mielografía correctamente realizada permite aos especialistas ver a estrutura interna da canle espiñal. Este método é especialmente importante para o diagnóstico de hernias da columna vertebral.
A TC (tomografía computarizada) e a resonancia magnética (RM) son os métodos máis eficaces e modernos para distinguir a osteocondrose das enfermidades da columna con síntomas similares.
Tratamento da osteocondrose

O tratamento da osteocondrose realízase de forma integral. Esta terapia está dirixida a eliminar a síndrome principal e as causas da enfermidade. Para combater a osteocondrose, os médicos usan acupuntura, tratamento ao baleiro, terapia manual, tratamento con láser, tracción, estimulación eléctrica, farmacopunción e punción magnética. A principal tarefa para un tratamento eficaz é a detección oportuna da enfermidade. As persoas que se enfrontan a esta grave enfermidade preocúpanse coa pregunta principal: é posible curar a osteocondrose? A resposta a isto depende da forma e grao de osteocondrose. Se o tratamento da enfermidade comeza na primeira fase, pode desfacerse da osteocondrose para sempre.
Para tratar a osteocondrose, os médicos usan métodos medicamentosos e non medicamentosos. Entre os fármacos utilizados para tratar a osteocondrose, hai que destacar os seguintes:
- Fármacos antiinflamatorios non esteroides. Axudan a eliminar a dor e a inflamación. Os AINE pódense prescribir para uso tópico en forma de pomadas e xeles.
- Bloqueos de novocaína. Xestionan a dor de forma eficaz.
- Medicamentos esteroides. Son prescritos en forma de inxeccións epidurales e intramusculares.
- Relaxantes musculares. Tales fondos axudan ao paciente a combater os espasmos musculares.
- Vitaminas B1, B6 e B12. Axudan a mellorar os procesos metabólicos necesarios para a saúde da columna vertebral.
Os exemplos de tratamentos non farmacolóxicos son variados, interesantes e agradables. O seguinte axudarache a xestionar as manifestacións da osteocondrose sen medicación:
- terapia de exercicios;
- fisioterapia;
- Masaxes;
- terapia manual;
- tracción;
- Reflexoloxía.
Vexamos máis de cerca estes métodos de tratamento. A fisioterapia para a osteocondrose é unha selección de exercicios físicos para eliminar a compresión das raíces nerviosas, corregir a postura e fortalecer o corsé muscular. A terapia de exercicio axuda a previr o desenvolvemento de complicacións da osteocondrose. Tal actividade física axuda a reducir a carga directamente sobre a columna vertebral e tamén mellora o abastecemento de sangue.
Os pacientes con osteocondrose prescríbense procedementos fisioterapéuticos para eliminar a dor e a inflamación. A electroforese, o ultrasóns, o láser e o tratamento magnético funcionan con eficacia nesta área. A masaxe estimula a circulación sanguínea e alivia a tensión muscular. Non só a masaxe terapéutica axuda a eliminar a dor, senón tamén a terapia manual. Ademais, axuda a restaurar a mobilidade das vértebras e a correcta postura.

Tracción... que é? Baixo esta palabra, incomprensible a primeira vista, hai un significado sinxelo escondido: "expansión". O desexo de estirar a columna vertebral é probablemente coñecido por todas as persoas que padecen osteocondrose. Na medicina actual hai dispositivos especiais que o fan posible. Este procedemento permítelle eliminar a dor e aumentar o espazo intervertebral.
Outro método interesante de tratamento non farmacolóxico da osteocondrose é a reflexoloxía. Está moi relacionado coa acupuntura xa que pretende influír nos puntos reflexoxénicos do corpo humano.
O mellor remedio para a osteocondrose
Un remedio ideal para a osteocondrose debe eliminar a dor e a inflamación, mellorar a circulación sanguínea, restaurar a mobilidade da cartilaxe e as articulacións e tamén reducir a depresión do paciente. Un complexo de medicamentos seleccionados fai fronte a todas estas tarefas. Nesta parte do artigo analizaremos todos estes medicamentos en detalle.
Fármacos antiinflamatorios non esteroides ou AINE para a osteocondrose

Os AINE axudan a un paciente con osteocondrose a superar a dor, a inflamación e o inchazo. Estes medicamentos pódense producir tanto para uso externo local en forma de pomadas e xeles, como para uso interno en forma de comprimidos e solucións para inxección. Os antiinflamatorios non esteroides poden pertencer a diferentes grupos:
- Un grupo de medicamentos co principio activo diclofenaco. Estes medicamentos melloran os efectos analxésicos doutros analxésicos e reducen a inflamación. A desvantaxe deste grupo é a imposibilidade do seu uso durante o embarazo e a lactación.
- A diferenza dos fármacos anteriores, os fármacos do grupo do ibuprofeno están aprobados para o seu uso por mulleres embarazadas e en período de lactación baixo supervisión médica. A substancia é ben tolerada e, polo tanto, pódese prescribir aos nenos.
- O grupo de fármacos do ketoprofeno ten un efecto analxésico acelerado.
- Os AINE de nova xeración inclúen o grupo nimesulida. Teñen efectos secundarios mínimos.
Vasodilatadores para osteocondrose
O estreitamento dos vasos sanguíneos na osteocondrose obsérvase en relación coa dor e a tensión muscular. Isto leva a unha falta de osíxeno no tecido danado e, polo tanto, prexudica a funcionalidade dos órganos internos. Para evitar tales complicacións, os médicos prescriben aos seus pacientes medicamentos vasodilatadores.
Relaxantes musculares para osteocondrose
Os relaxantes musculares relaxan os músculos e teñen un efecto calmante. Isto ten un efecto positivo sobre a circulación sanguínea e apoia o efecto analxésico dos medicamentos antiinflamatorios non esteroides. Os relaxantes musculares tamén axudan a acelerar o proceso de reparación do tecido danado.
Condroprotectores para osteocondrose
Os condroprotectores e os complexos vitamínicos axudan a restaurar o tecido cartilaginoso. Os condroprotectores son ingredientes activos que non só restauran o tecido cartilaginoso, senón tamén a mobilidade na articulación. As drogas dignas deste grupo son as baseadas en condroitina e glucosamina.
Sedantes para a osteocondrose
Parece que, por que tomar sedantes no tratamento da osteocondrose? A resposta non é tan complicada como se podería pensar: unha síndrome de dor que segue a unha persoa durante moito tempo pode provocar facilmente depresión e estrés frecuente. Na maioría dos casos, é suficiente tomar unha tintura de valeriana ou de matricaria.
O médico tratante debe seleccionar medicamentos para tratar unha enfermidade tan grave como a osteocondrose.
Corsé para osteocondrosis

No tratamento complexo da osteocondrose de calquera tipo, os médicos consideran útil usar un corsé. Os corsés están feitos por separado específicamente para o pescozo, o peito e as zonas lumbares ou para fixar completamente a columna vertebral. Para a osteocondrose mamaria, utilízanse corsés feitos dun material elástico especial con férulas metálicas ou de plástico no interior. Para a osteocondrose lumbar utilízanse corsés con insercións transversais e lonxitudinais ríxidas de metal ou plástico. Como material para a produción úsase cinta de vendaxe ou neopreno. Un corsé de pescozo chámase colar e é ríxido. Os corsés que fixan toda a columna tamén se denominan correctores de postura. Os corsés veñen en brandos, medios e duros. O grao de rixidez do corsé prescríbese individualmente polo médico asistente.
Usar un corsé para a osteocondrose axuda a fortalecer os músculos das costas, aliviar a dor, mellorar a postura, evitar o desenvolvemento de complicacións e acelerar a recuperación. Hai certas regras que se aplican cando se usa un corsé. Os pacientes con osteocondrose deben consultar definitivamente a un especialista sobre a elección e necesidade de usar un corsé. A primeira vez que se pon o corsé durante non máis de 15 minutos e despois non se pode usar durante máis de 6 horas ao día.
Prevención da osteocondrose
A prevención é de gran importancia para manter a saúde da columna vertebral e evitar a exacerbación da osteocondrose. Para a prevención é necesario levar un estilo de vida saudable e activo, practicar deporte e, se é necesario, loitar contra o exceso de peso. O estrés e o choque nervioso tamén poden levar ao desenvolvemento da osteocondrose. Polo tanto, é importante controlar a súa estabilidade mental e evitar situacións estresantes. As lesións unha vez sufridas poden finalmente ter un impacto negativo, polo que hai que evitalas desde a infancia. A nutrición adecuada é de especial importancia para a osteocondrose e a súa prevención.
Dieta para osteocondrose

Algúns expertos falan do importante papel da nutrición na saúde da columna vertebral. Os produtos consumidos por unha persoa deben proporcionarlle substancias que sintetizan o tecido cartilaginoso. Estamos a falar de mucopolisacáridos, que están contidos na marmelada, a carne en gelatina e a xelatina. É importante asegurar unha axeitada inxestión de líquidos, xa que unha deficiencia fai que os discos intervertebrais se sequen. As proteínas son útiles nunha dieta normal, especialmente para a osteocondrose. Estas substancias pódense obter de carne, froitos secos, peixe, feixóns e berinjela.
Os minerais e as vitaminas fortalecen o tecido óseo. Podemos obter calcio do queixo duro, produtos lácteos, feixóns e ensalada. É importante lembrar que a vitamina D, que se atopa nos ovos, na manteiga e no peixe do mar, é necesaria para a absorción do calcio. O magnesio axuda a reter o calcio no tecido óseo e evita que se elimine do corpo. O magnesio pódese obter comendo pepinos, noces e sementes de xirasol. Moitas persoas saben sobre o contido de fósforo no peixe, pero o feito de que este elemento tamén estea presente na composición de chícharos, soia, farelo e repolo é un feito menos coñecido. As fontes de manganeso inclúen carne de polo, xemas de ovo, queixo cottage, casca de patacas e plátanos.
Entre as vitaminas, hai que destacar o papel especial dos grupos A, B e C. As fontes de vitamina A inclúen ovos crus, fígado, cenorias e melón. A carne de porco, a tenreira, o marisco, os cogomelos e os grans conteñen vitaminas do grupo B. O ácido ascórbico, coñecido por nós dende a infancia, atópase en froitas e verduras frescas.
Así que, se observamos os produtos que se inclúen na dieta para a osteocondrose ou para a súa prevención, veremos que desta lista podemos compoñer un menú de pratos moi saborosos e variados.
Agora vexamos os produtos prohibidos. A lista negra de produtos para a osteocondrose inclúe: sal, encurtidos e adobos, especias quentes, alimentos procesados, azucre (pódese substituír por mel), limonada e café.
Complicacións da osteocondrose

A osteocondrose pode levar á discapacidade do paciente se non se trata adecuadamente. As complicacións desta patoloxía inclúen:
- Estenose da medula espiñal debido ao estreitamento da súa canle. Isto leva a entumecimiento nos membros e problemas para camiñar.
- Nervios espiñais pinchados.
- Hernia discal e despois hernia discal.
- radiculite.
- Lumbago e ciática.
- Distonía vexetativo-vascular.
- hernia de Schmorl.
- Desprazamento vertebral.
- Xaquecas e dores de cabeza.
O aumento da presión arterial adoita observarse coa osteocondrose da columna cervical.
Se tes algunha queixa sobre a saúde da túa columna, consulta inmediatamente a un médico, xa que o tratamento oportuno é a clave para unha recuperación exitosa.




















